Revive Your Entire Smile with Personalized, Comprehensive Dental Care
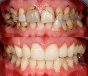
At Mr. Dentist, Full Mouth Rehabilitation is a customized approach to completely restore your oral health, function, and aesthetics. Whether your teeth are severely worn down, missing, damaged, or misaligned, we design a step-by-step treatment plan that combines restorative and cosmetic procedures to rebuild your smile.
Full mouth rehabilitation may include crowns, bridges, veneers, dental implants, root canals, gum treatments, and bite alignment corrections. The goal is to restore not only your teeth but your confidence, speech clarity, and chewing ability—all with comfort and precision.
Our experienced team uses advanced diagnostic tools, digital impressions, and state-of-the-art technology to deliver long-lasting results tailored to your specific dental needs.
Why Choose Full Mouth Rehabilitation at Mr. Dentist?
Full mouth rehabilitation starts with a detailed consultation where we assess your oral health using digital scans, 3D X-rays, and bite analysis. Based on the diagnosis, we develop a personalized treatment plan that may involve multiple procedures spread over a few sessions or months.
This multidisciplinary approach ensures that every aspect of your oral health—teeth, gums, jaw, and bite—is addressed for optimal, long-term results. Throughout the process, our team prioritizes your comfort, budget, and aesthetic goals.
Follow excellent oral hygiene—brush twice daily, floss regularly, use fluoride-based mouthwash, and attend periodic check-ups and cleanings as advised by your dentist.
You can call our clinic, book online, or walk in to schedule a comprehensive consultation. We’ll guide you through every step from evaluation to recovery.
Coverage varies depending on procedures involved and your policy. Our staff will assist in verifying insurance and helping with claims and payment breakdowns.
We offer flexible EMI plans, phased treatment scheduling, and bundled packages to make your smile transformation affordable and accessible.
Depending on your case, treatments may include crowns, bridges, implants, root canals, orthodontics, gum treatments, and more—all designed to restore your entire oral system.
I had years of dental problems, but Mr. Dentist created a step-by-step plan that changed everything. I can smile and eat without pain now.

Full Mouth Rehabilitation Patient
My bite was misaligned, and several teeth were broken. Mr. Dentist gave me a complete restoration—it looks and feels amazing.

Smile Makeover Patient
Of patients reported improved oral function and appearance after full mouth rehabilitation